BUCK TEETH

Causes, Health Risks, Treatment Options, Costs & Everything You Need to Know in 2026
Buck teeth are one of the most common orthodontic conditions in the world — and one of the most misunderstood. Whether you are searching about buck teeth causes, curious about how to fix buck teeth in adults or children, wondering what buck teeth look like compared to a normal bite, or comparing braces vs. clear aligners vs. veneers for correction, this guide answers every major question. No promotional spin. Just clear, evidence-based information.
| 📌 | Quick answer: ‘Buck teeth’ is the lay term for overjet — a condition where the upper front teeth protrude significantly further than the lower front teeth. The normal horizontal distance between upper and lower teeth is 2–3 mm. Buck teeth occur when this exceeds that range, often due to genetics, childhood habits, or jaw structure differences. They can cause real dental and functional problems — but they are also one of the most successfully treated orthodontic conditions at any age. |
1. What Are Buck Teeth? Definition, Medical Term & the Overbite vs. Overjet Confusion
The medical term for buck teeth is overjet — not overbite, though the two are frequently confused. Understanding this distinction matters because they describe different problems and may require different treatment approaches.
| Overjet (Buck Teeth) | Overbite (Deep Bite) | |
| Direction | Horizontal — upper front teeth stick out forward | Vertical — upper front teeth drop down over the lower teeth |
| Normal range | 2–3 mm horizontal gap between upper and lower front teeth | 2–4 mm vertical overlap (covering up to 30% of lower teeth) |
| Buck teeth? | Yes — this is what ‘buck teeth’ refers to | Not exactly — though both can occur together |
| Common cause | Skeletal jaw discrepancy, genetics, thumb sucking, tongue thrust | Genetic, jaw growth pattern, clenching/grinding |
| Treatment | Braces, clear aligners, jaw surgery (severe cases) | Braces, bite correction, jaw surgery (severe cases) |
Many people say ‘overbite’ when they mean overjet — and many dentists understand what they mean. For the purposes of this guide, ‘buck teeth,’ ‘protruding teeth,’ ‘bunny teeth,’ and ‘overjet’ all refer to the same thing: upper front teeth that protrude too far forward relative to the lower teeth. Buck teeth vs. bunny teeth is simply a naming difference, not a clinical one.
| 💡 | Buck teeth are classified as a Class II malocclusion — a category of bite problems where the upper teeth and jaw sit further forward than they should relative to the lower jaw. In a healthy bite (Class I), the upper front teeth sit only slightly in front of the lower front teeth. Buck teeth represent a more pronounced version of this forward positioning. |
2. What Causes Buck Teeth? Every Factor Explained

What Causes Buck Teeth
Buck teeth causes fall into two broad categories: skeletal (related to jaw structure) and dental (related to tooth position). In many cases, both factors are present.
Genetic and Skeletal Causes
- Genetics: Are buck teeth genetic? Yes — this is the most common cause. Jaw shape, jaw size, and the relative positioning of the upper and lower jaw are primarily inherited traits. If a biological parent has protruding teeth or a recessed lower jaw, the likelihood of the same pattern in children is significantly higher.
- Small or recessed lower jaw: When the lower jaw is naturally smaller or set further back than normal, the upper front teeth appear to protrude — even if the upper teeth themselves are in a normal position. This is a skeletal overjet and is the most common structural cause of buck teeth.
- Larger upper jaw: Conversely, an upper jaw that is proportionally larger or set further forward than normal produces a similar protruding teeth appearance.
Childhood Habits and Behavioral Causes
- Thumb sucking: Prolonged thumb sucking — particularly beyond age 4, after permanent teeth begin erupting — applies forward pressure to the developing upper front teeth and can reshape the dental arch. A study published in the Journal of Indian Society of Pedodontics and Preventive Dentistry found that children who sucked their thumbs for more than 18 months had significantly higher rates of overjet and open bite.
- Pacifier use: Buck teeth from pacifier use follows the same mechanical principle as thumb sucking. Extended pacifier use beyond age 2–3 is associated with increased overjet. Buck teeth from a pacifier used well beyond the developmental period are common and frequently brought up by parents of toddlers.
- Tongue thrust: Tongue thrusting — when the tongue pushes forward against the upper front teeth during swallowing instead of resting against the roof of the mouth — applies sustained forward pressure to the upper incisors over time. This habit is common in young children and often resolves naturally, but when it persists, it contributes to overjet.
- Mouth breathing: A 2016 study published in Acta Otorhinolaryngologica Italica found associations between chronic mouth breathing and malocclusion including overjet. Breathing through the mouth repositions the tongue and jaw in ways that, over time, can contribute to forward movement of the upper front teeth.
Dental and Other Causes
- Crowding and missing teeth: When baby teeth are lost early, neighboring teeth drift into the space — sometimes pushing front teeth forward. Crowding in the dental arch can also force upper front teeth to erupt in a forward position.
- Teeth grinding (bruxism): Chronic teeth grinding places uneven pressure on the dentition over time and can contribute to front tooth protrusion in some cases.
- Dental trauma: Injuries to the mouth or jaw can shift teeth or alter jaw alignment, contributing to the development of protruding front teeth.
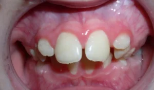
3. What Do Buck Teeth Look Like? Appearance and Side Profile

What Do Buck Teeth Look Like
What do buck teeth look like? The defining visual feature of overjet is that the upper front teeth are visibly further forward than the lower front teeth — often with a noticeable horizontal gap between the upper and lower teeth when the mouth is closed. The gap may be subtle in mild cases (4–5 mm overjet) or pronounced enough to prevent the lips from closing comfortably in more severe cases.
Buck teeth side profile: Viewed from the side, people with significant overjet often display what is sometimes called a ‘Class II profile’ — a slightly more prominent upper lip and a recessed or less-prominent chin and lower jaw relative to the upper jaw. The nose may appear proportionally larger. This side profile is closely related to the skeletal jaw relationship and is one reason some people feel self-conscious in photographs.
Buck teeth with a gap: Many people with overjet also have a midline diastema — a gap between the two upper central front teeth — in addition to forward protrusion. These two features often appear together. Buck teeth spread out or spaced apart create a distinct visual appearance that is separate from crowded buck teeth, where the upper front teeth are tightly packed but still protruding.
Buck teeth before and after: The most dramatic visual changes from buck teeth correction occur when the overjet is significant. Before-and-after comparisons from orthodontic treatment — whether braces or clear aligners — typically show not just repositioned teeth but an improved lip profile and better jaw-to-chin balance, particularly when treatment addresses the underlying jaw relationship.
4. Buck Teeth Health Risks: Why This Is Not Just a Cosmetic Issue
Buck teeth are often dismissed as a purely cosmetic concern — but clinically, significant overjet carries real functional and health consequences that justify treatment beyond aesthetics.
- Higher risk of dental trauma: A systematic review published in Dental Traumatology (Arraj et al., 2019) found that larger overjet is significantly associated with increased risk of front-tooth fractures and chips — particularly in children and teenagers during sports or accidental falls. Protruding teeth simply have more surface area exposed to impact.
- Difficulty biting and chewing: When upper and lower teeth cannot meet properly in front, biting into foods like apples or sandwiches requires extra jaw effort. Chewing efficiency is reduced, and uneven pressure is placed on certain teeth, accelerating wear.
- Speech difficulties: Sounds that require the tongue or teeth to position in specific ways — particularly ‘f,’ ‘v,’ ‘s,’ ‘th,’ ‘m,’ ‘b,’ and ‘p’ — can be harder to produce clearly with pronounced buck teeth. Speech impediments, including a lisp, are more common in people with significant overjet.
- Jaw pain and TMJ strain: A misaligned bite places uneven mechanical load on the temporomandibular joints (TMJ), which connect the jaw to the skull. Over time, this can contribute to clicking, locking, facial soreness, and chronic headaches in susceptible individuals.
- Gum damage: In cases where a deep overbite accompanies the overjet, the lower front teeth may repeatedly contact the upper palate or gumline during chewing — causing gum recession and soft tissue damage over time.
- Sleep-disordered breathing: A small or recessed lower jaw — a common skeletal component of significant overjet — can narrow the upper airway, contributing to snoring and in some cases mild obstructive sleep apnea. This is particularly relevant in adults with untreated skeletal Class II malocclusion.
- Increased decay risk: Protruding and crowded teeth are harder to clean thoroughly. Toothbrush bristles and floss cannot reach all surfaces easily, increasing plaque accumulation and the risk of cavities and gum disease over time.
| ⚠️ | Do buck teeth get worse with age? In some cases, yes. Dental overjet caused by habits (thumb sucking, tongue thrust) that continue into adulthood can progress. Missing teeth that are not replaced can cause neighboring teeth to drift further forward. Skeletal cases where jaw growth has stopped typically stabilize, but functional damage (tooth wear, gum recession) accumulates with each passing year of untreated significant overjet. |
5. How to Fix Buck Teeth: All Treatment Options Compared

How to Fix Buck Teeth
The right treatment for buck teeth depends entirely on the severity of the overjet, whether the cause is primarily in tooth position (dental) or jaw structure (skeletal), and the age of the patient. Here is an honest overview of every available option.
| Treatment | Best For | Approx. US Cost | Typical Duration | Fixes Bite? |
| Metal braces | Mild to severe overjet | $3,000–$6,000 | 18–30 months | Yes — fully |
| Ceramic braces | Mild to severe; want less visibility | $3,000–$8,500 | 18–30 months | Yes — fully |
| Clear aligners (Invisalign) | Mild to moderate overjet | $3,000–$8,000 | 12–18 months | Yes — for dental overjet |
| Lingual braces | Any severity; fully hidden | $5,000–$13,000 | 18–30 months | Yes — fully |
| Palate expander | Children with narrow upper jaw | $1,000–$3,000 | 3–12 months | Yes — guides jaw growth |
| Porcelain veneers | Mild cosmetic overjet only | $1,000–$2,500/tooth | 2–3 visits | No — appearance only |
| Composite bonding | Very mild cosmetic cases | $250–$1,200/tooth | 1–2 visits | No — appearance only |
| Jaw surgery (orthognathic) | Severe skeletal overjet in adults | $20,000–$40,000+ | Combined with braces; 2–3 years total | Yes — jaw repositioning |
| Tooth extraction + braces | Severe crowding with overjet | Varies; $3,000–$7,000 | 18–24 months | Yes |
Braces for Buck Teeth
Traditional braces remain the most reliable and versatile treatment for buck teeth across all severity levels. They use metal or ceramic brackets bonded to the teeth, connected by wires that apply controlled pressure to move teeth into the correct position over time. Buck teeth braces typically take 18–24 months for moderate cases, with elastics (rubber bands) often used to help correct the jaw relationship by linking the upper and lower arches. Buck teeth before and after braces show some of the most significant orthodontic transformations — both the tooth position and the facial profile improve when overjet is successfully corrected.
Clear Aligners for Buck Teeth
Fix buck teeth with clear aligners is increasingly popular among adults and teenagers who want treatment without visible brackets. Brands like Invisalign use a series of custom-fitted transparent trays worn 20–22 hours per day, changed every 1–2 weeks to progressively reposition the teeth. Clear aligners work well for mild to moderate dental overjet. Buck teeth with clear aligners treatment takes approximately 12–18 months for most cases. They are removable for eating and brushing — a practical advantage over fixed braces.
However, clear aligners have real limitations for severe overjet, particularly when the problem is skeletal (jaw-related) rather than purely dental. For significant jaw discrepancies, fixed braces with orthodontic elastics or jaw surgery provides more predictable results.
Veneers for Buck Teeth
Buck teeth veneers work by reshaping the visible front surface of the upper incisors with thin porcelain shells — making the teeth appear less protruded. This is a cosmetic approach, not an orthodontic one. Veneers cannot move the tooth root or correct the underlying bite. They are appropriate when the overjet is very mild (2 mm or less beyond normal) and the bite functions well. For moderate to severe buck teeth, veneers change appearance without addressing function — which means chewing difficulty, trauma risk, and gum damage remain unresolved.
Fix Buck Teeth Without Braces
Can you fix buck teeth without braces? For mild cosmetic cases, yes — veneers, composite bonding, and clear aligners all provide non-brace options with legitimate clinical evidence of aesthetic improvement. However, fix buck teeth naturally at home is not a medically supported option. Applying unsupervised pressure to teeth using rubber bands, DIY retainers, tongue exercises, or other home methods risks permanent root damage, tooth loss, and worsening of the bite. The American Association of Orthodontists explicitly warns against at-home teeth movement attempts. Correct buck teeth without braces means using professionally supervised cosmetic or aligner treatments — not unsupervised self-treatment.
Buck Teeth Correction for Children, Teens, and Adults
Buck teeth in children benefit from the significant advantage of jaw growth still being active. Early orthodontic evaluation — recommended from age 7 by the American Association of Orthodontists — allows an orthodontist to identify developing overjet and potentially use functional appliances (like the Herbst appliance or Twin Block) to guide jaw growth, reducing the severity of correction needed later. Fix buck teeth in toddlers is generally a matter of breaking the habits (pacifier, thumb sucking) that are driving the problem, with professional intervention deferred until permanent teeth erupt.
Buck teeth in adults are equally treatable — there is no age limit on successful orthodontic treatment. Adult bone is denser, so tooth movement is slightly slower, but the outcomes are comparable. Severe skeletal cases in adults (where jaw growth has completed) that require jaw correction typically need orthognathic surgery combined with orthodontic treatment for optimal results — an option not needed for the same severity in a growing child.
6. Buck Teeth Celebrities, Attractiveness & Cultural Perspectives
Are buck teeth attractive? The honest answer is: it depends entirely on cultural context, personal preference, and degree of protrusion. Mild overjet — sometimes called bunny teeth — is widely considered charming or distinctive in many cultures. In Japan, a feature called yaeba (slightly crowded, mildly protruding upper canines) has been considered an attractive dental characteristic for decades. Many buck teeth women and buck teeth men who are widely considered attractive public figures demonstrate that protruding teeth do not inherently diminish appearance.
Buck teeth celebrities are more common than most people realize. Many well-known performers, athletes, and public figures have had notable overjet either currently or before orthodontic treatment, and many have spoken openly about their orthodontic journeys. The key distinction is between mild overjet that gives a distinctive smile and significant overjet that causes functional problems — the former is often a matter of personal choice, while the latter warrants clinical attention.
Buck teeth side profile concerns are among the most emotionally significant aspects of this condition for many adults and teenagers. Self-consciousness in photographs, avoiding smiling, or declining social situations because of protruding teeth have a documented impact on quality of life and confidence. This is a legitimate reason to pursue treatment even when functional problems are absent — cosmetic motivation is valid.
7. When to See an Orthodontist: What to Expect
The first step toward correcting buck teeth is an orthodontic evaluation. The American Association of Orthodontists recommends that children have their first orthodontic assessment by age 7 — not necessarily to begin treatment, but to identify developing problems while jaw growth is still manageable. Adults can begin this evaluation at any point.
During an initial consultation, the orthodontist will take photographs and X-rays, measure the degree of overjet, assess whether the underlying cause is dental or skeletal, and discuss which treatment options are appropriate for your specific case. Most initial orthodontic consultations in the United States are free.
Official Guidance: American Association of Orthodontists — Find an Orthodontist (mylifemysmile.org) — The AAO’s official orthodontist finder and patient resources on overjet and malocclusion
8. Frequently Asked Questions About Buck Teeth
Q: What are buck teeth called in dentistry?
A: The clinical term is overjet — specifically, increased overjet. This describes the horizontal distance between the upper and lower front teeth being greater than the normal 2–3 mm range. Buck teeth are categorized as a Class II malocclusion (bad bite), which describes a bite pattern where the upper teeth and jaw sit further forward than the lower jaw. The terms ‘buck teeth,’ ‘bunny teeth,’ ‘protruding teeth,’ and ‘overjet’ all describe the same condition.
Q: What causes buck teeth?
A: The most common cause is genetics — the jaw shape and relative size of the upper and lower jaw are largely inherited. Additional causes include prolonged thumb sucking or pacifier use beyond early childhood, tongue thrust (the tongue pressing forward against the upper front teeth during swallowing), chronic mouth breathing, crowding that pushes front teeth forward, and early loss of baby teeth that allows adjacent teeth to drift. In some cases, a skeletal cause (small or recessed lower jaw) is the primary driver.
Q: Can buck teeth be fixed without braces?
A: Yes, for mild cases. Clear aligners (like Invisalign) technically treat overjet without traditional brackets and wires. Veneers and composite bonding can improve the appearance of very mild overjet without any orthodontic movement. However, there are no legitimate at-home fixes — unsupervised methods like rubber bands, tongue exercises, or DIY retainers risk permanent tooth root damage and should be avoided. ‘Without braces’ means using professionally supervised cosmetic or aligner treatment, not self-treatment.
Q: How long does buck teeth treatment take?
A: Buck teeth braces treatment takes 18–30 months for most moderate to severe cases. Clear aligner treatment takes approximately 12–18 months for mild to moderate dental overjet. Veneers or bonding for mild cosmetic cases can be completed in 1–3 dental visits. In cases requiring jaw surgery, the combined orthodontic and surgical process typically spans 2–3 years. The right timeline depends entirely on severity, the treatment method chosen, and patient compliance (especially for aligners, which require consistent 20–22 hour daily wear).
Q: Are buck teeth attractive?
A: Attractiveness is subjective and varies by cultural context. Mild overjet — often described as bunny teeth — is considered charming or distinctive in many cultures, including being actively valued in Japan (yaeba). Many well-known public figures have visible overjet and are widely considered attractive. Significant buck teeth that affect functional bite, lip closure, or the side profile are more commonly associated with self-consciousness and confidence concerns, which is a legitimate reason to pursue treatment independent of any medical indication.
Q: Can buck teeth fix themselves?
A: No. Once the adult dentition is in place, teeth do not self-correct. In young children, breaking habits (thumb sucking, pacifier use) before permanent teeth erupt can prevent the condition from developing or worsening — but existing overjet will not resolve on its own. Untreated, significant overjet may remain stable or, in some cases, worsen as teeth experience uneven pressure from chewing and oral habits over time.
Q: Do buck teeth get worse with age?
A: They can in specific circumstances. Overjet caused by ongoing habits (tongue thrust, mouth breathing) that persist into adulthood may continue to worsen while the habit remains. Missing teeth that are not replaced can cause neighboring teeth to drift forward. Buck teeth that are already present but stable in adulthood generally do not dramatically worsen, but the functional consequences — uneven tooth wear, gum recession, jaw joint strain — accumulate over time without treatment.
Q: Are buck teeth genetic?
A: Yes — partially. Jaw shape, jaw size, and the relative positioning of the upper and lower jaw are substantially determined by genetics. If one or both parents have a significant overjet or a recessed lower jaw, the likelihood of the same pattern in children is higher. However, genetics is not the only factor — childhood habits such as thumb sucking and tongue thrust, and factors such as mouth breathing and early tooth loss, can cause or worsen overjet independently of genetic predisposition.
Q: How much does it cost to fix buck teeth?
A: Costs depend entirely on the treatment method. Metal braces run $3,000–$6,000 for a complete treatment course. Ceramic braces cost $3,000–$8,500. Clear aligners (Invisalign) range from $3,000–$8,000. Lingual (hidden) braces cost $5,000–$13,000. Porcelain veneers for mild cosmetic cases run $1,000–$2,500 per tooth. Composite bonding costs $250–$1,200 per tooth. Jaw surgery for severe skeletal overjet can run $20,000–$40,000 or more when combined with orthodontics. Dental insurance with orthodontic benefits typically covers $1,000–$3,000 of orthodontic treatment costs, and most practices offer payment plans.
Q: Can buck teeth cause breathing problems or sleep apnea?
A: In cases where the overjet is driven by a small or recessed lower jaw (skeletal Class II), the lower jaw position can narrow the upper airway. This structural narrowing is associated with increased snoring and, in some individuals, mild obstructive sleep apnea. Jaw surgery that repositions the lower jaw forward — used in severe skeletal cases — can improve airway dimensions as a secondary benefit of bite correction. Chronic mouth breathing that contributes to overjet also independently affects sleep quality.
Final Word: Buck Teeth Are Treatable at Any Age
Buck teeth — whether mild bunny teeth you have always embraced or a more pronounced overjet affecting your bite, speech, or confidence — represent one of the most successfully treated orthodontic conditions in modern dentistry. Treatment works reliably for children, teenagers, and adults. The earlier a growing child is evaluated, the more options are available. But adults face no ceiling on what orthodontic or cosmetic treatment can achieve.
The most important step is an accurate diagnosis. The right treatment for your buck teeth depends on whether the overjet is primarily dental (tooth position) or skeletal (jaw structure), its severity, your age, and your priorities around aesthetics, timeline, and cost. None of those decisions can be made honestly without a professional examination — but with the right information, you can walk into that consultation knowing exactly what questions to ask.
Editorial Note
This article is educational and non-promotional. All information is based on synthesis from Cleveland Clinic, Maltep Dental Clinic, Thurman Orthodontics, Interdental Turkey, Suave Clinic, Quest Orthodontics, Longevita Dental, Owens Cosmetic & Family Dentistry, Crystalline Dental, and peer-reviewed dental research. No specific providers are recommended. Costs are US national averages for 2025–2026. Consult a licensed orthodontist for personal diagnosis.
Medically reviewed by: Dr. Aziz Liaquat, DDS from Elitefixdenture.com
Dr. Aziz Liaquat is a licensed Doctor of Dental Surgery with clinical expertise in orthodontic assessment, bite correction (malocclusion), and restorative dentistry. He has extensive experience diagnosing and managing overjet (buck teeth), including treatment planning with braces, clear aligners, and full-mouth rehabilitation approaches.

Buck Teeth Emoji



